Facebook Pinterest
  • Belleza
  • Bienestar
  • Consejos
  • Perder Peso
  • Recetas
  • Remedios
Buscar
Registrarse
¡Bienvenido! Ingresa en tu cuenta
¿Olvidaste tu contraseña? consigue ayuda
Recuperación de contraseña
Recupera tu contraseña
Se te ha enviado una contraseña por correo electrónico.

Estilo con Salud

  • Belleza
  • Bienestar
  • Consejos
  • Perder Peso
  • Recetas
  • Remedios

Descubre cual es el secreto de los japoneses para tener un hermoso cutis

Estos son los beneficios que el jugo de apio te brinda

Infórmate sobre la hernia discal

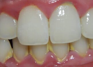
¿Que es el sarro y como puedes eliminarlo?

Jugos de frutas y vegetales

¿Cuales son los síntomas que indican que estas deshidratado?

Consejos que te ayudar mantener la presión arterial estable

Consejos para que el cabello crezca más rápido

¿Sufres de hipo constantemente? Aprende a como detenerlo

Consejos para reparar uñas quebradizas

1...464748...91Página 47 de 91
SOBRE NOSOTROS
Una vida saludable y con estilo es mejor...
SÍGUENOS
Facebook Pinterest
  • Configuracion de Privacidad
  • Políticas De Privacidad & Cookies
  • CONTACTO Y UBICACIÓN
Estilo con Salud Copyright © 2024