Facebook
Pinterest
Belleza
Bienestar
Consejos
Perder Peso
Recetas
Remedios
Buscar
Registrarse
¡Bienvenido! Ingresa en tu cuenta
tu nombre de usuario
tu contraseña
¿Olvidaste tu contraseña? consigue ayuda
Recuperación de contraseña
Recupera tu contraseña
tu correo electrónico
Se te ha enviado una contraseña por correo electrónico.
Estilo con Salud
Belleza
Bienestar
Consejos
Perder Peso
Recetas
Remedios
Equilibrio hidroelectrolítico
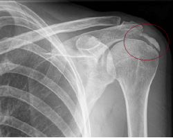
Calcificación en el hombro
Remedios naturales para aliviar la migraña en niños
Causas del insomnio
Hipertensión y somníferos
¿Qué es la apnea del sueño en niños?
¿Qué es la turbinoplastia?
Alexitimia ¿Qué es?
¿Qué es el resfriado común?¿Como lo podemos aliviar?
5 Alimentos que te ayudaran a limpiar el colon
1
...
41
42
43
...
91
Página 42 de 91