Facebook
Pinterest
Belleza
Bienestar
Consejos
Perder Peso
Recetas
Remedios
Buscar
Registrarse
¡Bienvenido! Ingresa en tu cuenta
tu nombre de usuario
tu contraseña
¿Olvidaste tu contraseña? consigue ayuda
Recuperación de contraseña
Recupera tu contraseña
tu correo electrónico
Se te ha enviado una contraseña por correo electrónico.
Estilo con Salud
Belleza
Bienestar
Consejos
Perder Peso
Recetas
Remedios
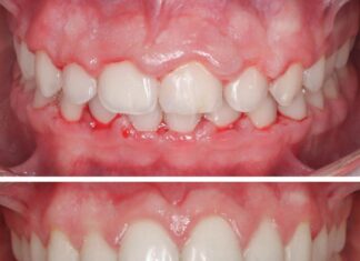
Hiperplasia o agrandamiento gingival
Neumotórax ¿Qué es?
Epidermólisis bullosa o piel de cristal
¿Cuáles son los tratamientos que se utilizan para el meningioma?
¿Qué es la diabulimia?
¿Qué es la sadorexia?
¿Qué es la tortícolis y cuales son sus causas?
La permarexia y sus causas
5 beneficios de la melatonina
Vello púbico ¿Qué debes de saber sobre el?
1
...
38
39
40
...
91
Página 39 de 91