Facebook
Pinterest
Belleza
Bienestar
Consejos
Perder Peso
Recetas
Remedios
Buscar
Registrarse
¡Bienvenido! Ingresa en tu cuenta
tu nombre de usuario
tu contraseña
¿Olvidaste tu contraseña? consigue ayuda
Recuperación de contraseña
Recupera tu contraseña
tu correo electrónico
Se te ha enviado una contraseña por correo electrónico.
Estilo con Salud
Belleza
Bienestar
Consejos
Perder Peso
Recetas
Remedios
Gerly
693 Publicaciones
0 COMENTARIOS
¿Qué es la tenosinovitis?
3 formas de cocinar boniato
Remedios para combatir el estreñimiento
¿Qué es el síndrome de Tourette?
Trastorno obsesivo compulsivo
Cócteles que son perfectos para cualquier ocasión
Mascarillas a base de café para el cuidado del cutis
Si quieres comer mejor pero no sabes como, sigue estos consejos
Remedios caseros para combatir el acné
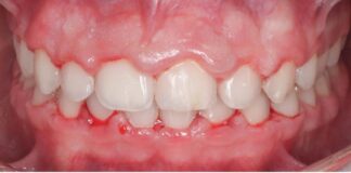
Hiperplasia o agrandamiento gingival
1
...
37
38
39
...
70
Página 38 de 70